门牙有缝是什么原因?如何自然缩小牙缝?
你是否曾因门牙间的缝隙感到困扰?无论是拍照时不敢露齿笑,还是担心食物残渣容易卡住,门牙缝隙确实会带来不少烦恼。其实,这种情况很常见,但背后的原因各不相同。本文将为您详解门牙缝隙的主要原因,并分享常见的改善方法,帮助您恢复牙齿的健康和美丽笑容。

一、5大门牙缝隙的常见诱因
1. 遗传因素:牙齿与颌骨的“不匹配”
门牙有缝的一个常见原因是遗传。如果家族成员中有类似问题,后代出现门牙缝隙的概率较高。遗传因素通常会导致牙齿大小与颌骨发育不匹配,从而使牙齿排列稀疏,形成缝隙。在这种情况下,牙齿矫正是最常见的解决方案,通过佩戴牙套或隐形矫正器调整牙齿位置,逐渐消除缝隙。
2. 不良习惯:舌头推挤与咬笔习惯
许多人从小养成了咬笔、吮指或用舌头推挤牙齿的习惯,这些不良习惯会逐渐导致门牙之间的缝隙。这些行为对牙齿施加了不正常的压力,影响牙齿排列的稳定性。戒除这些不良习惯后,配合牙齿矫正,可以有效改善门牙缝隙。
3. 牙周疾病:牙龈萎缩与牙齿松动
牙周炎或牙龈萎缩等口腔问题,常常会导致牙齿松动,从而出现门牙缝隙。除了影响牙齿健康,牙周疾病还可能引发口腔其他问题。通过专业牙周护理,如深层清洁和牙龈修复,可以帮助稳定牙齿,并与牙齿矫正相结合,恢复美观。
4. 牙齿发育异常:多生牙与牙齿形态问题
一些人可能因牙齿发育异常,如多生牙或牙齿缺失等,导致门牙出现缝隙。根据具体情况,可以采取相应的修复方法。例如,拔除多生牙并通过矫正器调整牙齿排列,或选择种植牙或桥接修复缺失的牙齿。
5. 牙齿形态的特殊性
有些人的门牙天生呈锥形或偏小,无法完全填满牙弓空间,自然就会留下缝隙。
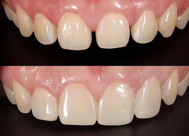
二、3种主流改善方案对比
| 方式 | 适合情况 | 所需时间 | 特点 |
|---|---|---|---|
| 隐形矫正 | 中度以下缝隙 | 6-18个月 | 美观隐蔽,可自行摘戴 |
| 瓷贴面 | 缝隙较小且牙齿健康 | 2-3次就诊 | 立即见效,颜色自然 |
| 全冠修复 | 缝隙大伴有牙齿缺损 | 1-2周 | 坚固耐用,改变牙齿形态 |
小贴士: 对于儿童期的门牙缝隙,专业牙医建议先观察,因为随着恒牙完全萌出,部分缝隙可能自然闭合。
三、日常维护小技巧
• 使用牙线时采用“C”字形手法清洁缝隙
• 选择含氟牙膏强化牙釉质
• 戒除咬硬物等不良口腔习惯
• 每半年进行一次专业口腔检查
特别提醒: 突然出现的门牙缝隙可能是牙龈问题的预警信号,建议尽早寻求专业意见。通过针对性方案,大多数门牙缝隙都能得到明显改善,重展灿烂笑容不再是难题!